驚!血管堵塞時你不會有感覺,沒救時你才會知道!5分鐘讓堵塞血管瞬間暢通!

專家提倡:早點「養」血管,勝於老來「治」。
當血管堵塞不足70%時,人體無任何感覺,當堵塞超過70%進入晚期時,人體才會有不良感覺。
按照血管橫斷堵塞的程度,一般分為:
堵塞初期:堵塞30%無癥狀
堵塞中期:堵塞達50%無癥狀
堵塞晚期:堵塞達70%出現癥狀
很多人以為,只有到老了的時候,才用為我們的血管操心。殊不知,血管斑塊變大,從30歲以後就加速了,再加上現代人活得越來越累、吃得越來越不健康、運動得越來越少,不知不覺中加速了血管的衰老和損壞。專家提倡:早點「養」血管,勝於老來「治」。
人體每6.5平方厘米的皮膚上就分布著長約6.1米的血管。好的血管讓人看著特別舒服:動脈血管富有活力,血管口徑大,管壁光滑、柔軟,彈性好,輸送血液的能力也最強。可有些人的血管不免讓人捏一把汗,就像家中的自來水管一樣,用的時間長了,管道內壁就要結垢、生鏽,逐漸導致管道受阻而無法供水。
血液中的「水垢」是指膽固醇、甘油三酯等,它們在血管壁上越積越多,形成如同黃色小米粥樣的斑塊,久而久之,使血管壁彈力下降,血液流動受阻,最終因缺血而引起心、腦血管病。
自測:你的血管幾歲了?
①在情緒壓抑,過於較真;
②嗜吃速食麵及餅乾、點心,偏食肉類食品;
③不願運動;
④每天吸菸支數乘以年齡超過400;
⑤爬樓梯時胸痛;
⑥手腳發涼;
⑦有麻木感;
⑧忘性大,經常丟三落四;
⑨血壓升高;
⑩膽固醇或血糖升高;
⑪直系親屬中有人死於冠心病或中風等。
11項中,如果你:
符合其中1—4項,說明你的血管年齡尚屬年輕;
符合5—7項,提示血管年齡超過生理年齡10歲以上;
符合8—11項,說明你的血管年齡將比生理年齡大20歲以上。
後兩種情況的出現,提示你患糖尿病、心臟病、腦中風的可能性較大,到了該調整生活方式的時候了。
血管「天敵」黑名單
餐餐大魚大肉,血管容易堵:
三四十歲的人常在外面應酬,餐館裡的菜多用「高油、高鹽、高糖」和「濃油赤醬」炮製出來,導致血管裡的脂肪越來越多,容易將血管堵塞。
晝夜顛倒,打亂血管生物鐘:
三十歲以上的人大多是單位的中流砥柱,不可避免地成為「熬夜族」。從養生角度來說,晚上11時到淩晨四五點鐘,是保證肝臟代謝血流的時間。
熬夜時,不止你自己,心腦血管的生物鐘也會被打亂,導致體內過多地分泌腎上腺素和去甲腎上腺素,讓血管收縮、血液流動緩慢、黏稠度增加。長期「黑白顛倒」的人,患心臟病的風險會比正常人增加一倍。
兩包煙,血管易「中毒」:
「吸菸是導致血管發生故障的元兇之一,哪怕你身體再好,一天兩包煙,也肯定會給血管留毒,讓它一天天脆弱下去。」
美國科學家50多年的研究表明,每天吸菸20支以上,冠心病風險會增加2—3倍。還有研究發現,熬夜時吸菸,會使血液的黏稠度比正常時升高8倍以上。
運動少,血管垃圾多:
下肢血管也很重要,但常被大家忽視。如果腦血管有問題,出現心臟病的幾率是正常人的2—3倍,可如果下肢血管有問題,這幾率就會變成4倍。
正常人皮膚上每平方毫米約有600根毛細血管,平時只開放100—200根,多運動能讓更多的毛細血管開放,促進血液微循環;而長期不運動,血管內的垃圾會逐漸累積,形成粥樣硬化斑塊這個「不定時炸彈」,還會影響到毛細血管供血,並且隨時可能被引爆。
高血壓、糖尿病拖累心腦血管:
沒有癥狀或不加控制的高血壓,是引發諸多血管病的導火索。
高血壓患者發生腦梗死的幾率是正常人的4—7倍。而高血糖不僅累及微血管,還會導致大血管病變,血糖高的人,腦卒中的發生率比正常人高2—3倍。
壞心情傷血管。專家最近證實,精神壓力可引起血管內膜收縮,加速血管老化。
日常護血管的小竅門
吃點血管「清道夫」:
山楂、燕麥、黑木耳、金橘、茄子、紅薯、大蒜、洋蔥這八大食物最能疏通血管,並保持血管壁的彈性。醋也能軟化血管、降低血脂。每天晚上少吃乾飯,用小米加黃米熬點稀飯,再加幾顆枸杞子和大棗,最護血管。
四多食品少不了:
①含魚油多的食品:魚肉富含甲硫氨酸、賴氨酸、脯氨酸及牛黃氨酸,有改善血管彈性、順應性及促進鈉鹽排洩的作用,富含不飽和脂肪酸的魚油還有保護血管內皮細胞、減少脂質沉積及改善纖溶的功能。
②富含精氨酸的食物:可補腎填精,有助調節血管張力、抑制血小板聚集,減少血管損傷,例如海參、泥鰍、鱔魚及芝麻、山藥、銀杏、豆腐皮、葵花子等;多吃富含葉酸的食物,膳食中缺乏葉酸及維生素B6、B12,會使血中半胱氨酸水平升高,易損傷血管內皮細胞,促進粥樣硬化斑塊形成。
③補充葉酸對降低冠心病和中風發病率有重要作用:專家建議中老年人尤其是心血管病人,應多攝食富含葉酸的食物,如紅莧菜、菠菜、龍鬚菜、蘆筍、豆類、酵母及蘋果、柑橘等。
④多攝入天然抗凝與降脂食物:攝食此類食物有助減少心肌梗死與缺血性中風。抑制血小板聚集、防止血栓形成的黑木耳及含吡嗪類物質如大蒜、洋蔥、青蔥、茼蒿、香菇、龍鬚菜及草莓、菠蘿也有一定的抗凝作用。番茄、葡萄、橘子中含少量類似阿司匹林的水楊酸抗凝物質。降脂食物有螺旋藻、香芹、胡蘿蔔、山楂、紫菜、海帶、核桃及橄欖油、芝麻油等。
飯前運動,幫血管駐齡:
國外,研究顯示,每天運動半小時,如走路、騎自行車、游泳、射門球、打桌球、慢跑、游泳、爬樓或登山,都能起到減肥消脂的作用,提高血管「年輕化」程度,防止變老。如果飯前適度運動,保護血管的效果更好。
每周兩塊黑巧克力:
黑巧克力含有天然抗氧化劑黃酮素,能防止血管變硬,同時增加心肌活力、放鬆肌肉,防止膽固醇在血管內積累,對防治心血管疾病有一定功效。
喝綠茶品紅酒:
建議,在家或外應酬時不妨喝點綠茶,因為其中的兒茶酚能減少血液中壞膽固醇的含量,增加好膽固醇的含量,增加血管柔韌性、彈性,預防血管硬化。或者每晚用玻璃杯喝上大半杯(約100—150毫升)紅酒,它具有抗氧化作用,一周喝上四五次,能很好地軟化血管。
血管體操每天做:
馬寅初活到百歲,就與他每天做「血管體操」有關。
方法是:
每晚睡前用冷熱水交替淋浴,熱水溫度為40℃—44℃,冷水溫度為12℃—16℃。做「操」時先冷後熱,交替5—10次,每次持續2—3分鐘,最後以熱水浴結束。這種血管體操可以促進血液循環,及時「沖走」血管內的垃圾。另外,大步快走也是一節不錯的心腦血管操,可以增強肌耐力並增強血管彈性。
最後一個方法提供給大家參考!
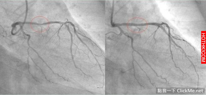
這是一位住在倫敦的人的親身經歷,他某次開會的時候,突然胸口劇痛,後來被醫院驗出來,他的三條心血管已經被嚴重堵塞,需要做搭橋手術。
因為手術的時間是一個月以後,等待手術的期間,他去看一位回教國家古法治療師。

這位治療師給他一個食療法,他照做吃了一個月。一個月後他去同一家醫院做檢查,發現三條血管乾乾淨淨,原來堵塞的地方已經全通了!

到底是什麼食療這麼神奇?!
通血管的材料和製作過程就來告訴你
所需材料:
1 杯檸檬汁
1 杯薑汁
1 杯大蒜汁
1 杯蘋果醋
蜂蜜適量

1、蒜頭去皮,薑去皮切小片,把這些榨成汁或打成泥。

2、用網布隔掉渣渣,然後絞出汁。

3、將得到的汁放入鍋裡,加入檸檬汁與蘋果醋,開大火,等汁液滾後轉小火慢煮,不要蓋鍋蓋讓水份蒸發,煮到剩一半後關火。
溫度降下後加蜂蜜攪拌均勻,加蜂蜜主要是讓汁液好入口,所以加多少就已自己的口味做基準。做好的成品裝瓶放入冰箱就OK囉!

每天早餐前服用一湯匙。大部分人的心血管疾病能得到治療。
也可當作日常保健飲品,預防心血管疾病和高血壓、感冒等疾病。
趕緊把這簡單又有效的配方轉載給親朋好友!
食療只是輔助,身體有病痛還是得去找醫生看!